ቅዱስ ጴጥሮስ ሆስፒታል ከውስብስብ የአንጎል አፈጣጠር ችግር ጋር ለተወለደች ሕጻን የተሳካ ቀዶ ሕክምና ማድረጉን አስታወቀ
18:04 11.03.2026 (የተሻሻለ: 18:44 11.03.2026)

© telegram sputnik_ethiopia
ሰብስክራይብ
ቅዱስ ጴጥሮስ ሆስፒታል ከውስብስብ የአንጎል አፈጣጠር ችግር ጋር ለተወለደች ሕጻን የተሳካ ቀዶ ሕክምና ማድረጉን አስታወቀ
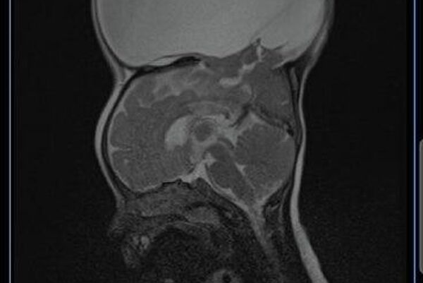
ይህ በስድስት ወር ጨቅላ ላይ የታየው ግዙፍ የጭንቅላት ላይ እብጠት "ኤንሰፋሎሲል" የሚባል የነርቭ ቱቦ እክል ሲሆን፣ ፅንስ በማህፀን ውስጥ እያለ የራስ ቅል አጥንት በትክክል ሳይዘጋ ሲቀር የሚከሰት ነው።
የሕክምና ቡድኑ ከሁለት ሰዓት ተኩል በላይ በቆየ ቀዶ ሕክምንና፣ የደም ሥሮቹን ሳይነኩ እብጠቱን የመለየት አስቸጋሪ ፍልሚያ በማካሄድ በስኬት ማጠናቀቃቸው ተገልጿል፡፡ ሕጻኗ በአሁኑ ወቅት በጥሩ ጤንነት ላይ እንደምትገኝ የአገር ውስጥ ሚዲያ የሆስፒታሉን ባለሙያዎች ጠቅሶ ዘግቧል።
ኤንሰፋሎሲል፣ እናቶች በእርግዝና ወቅት ወይም ከመፀነሳቸው በፊት ፎሊክ አሲድ በመውሰድ ሊከላከሉት የሚችሉት የጤና እክል መሆኑ ተመላክቷል።
ስፑትኒክ ኢትዮጵያ | መተግበሪያ | X

1/3
© telegram sputnik_ethiopia

2/3
© telegram sputnik_ethiopia

3/3
© telegram sputnik_ethiopia
1/3
© telegram sputnik_ethiopia
2/3
© telegram sputnik_ethiopia
3/3
© telegram sputnik_ethiopia